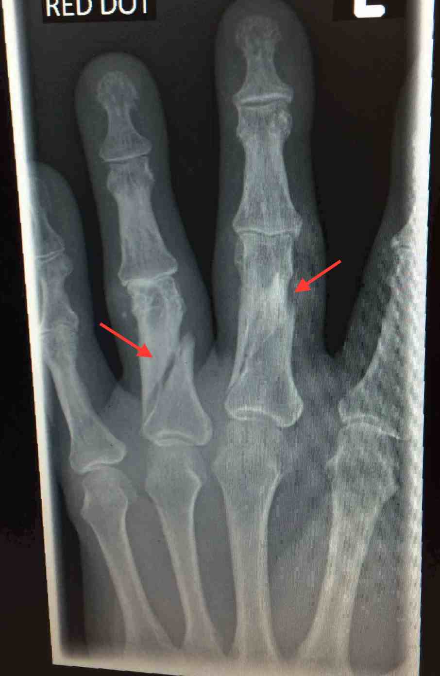
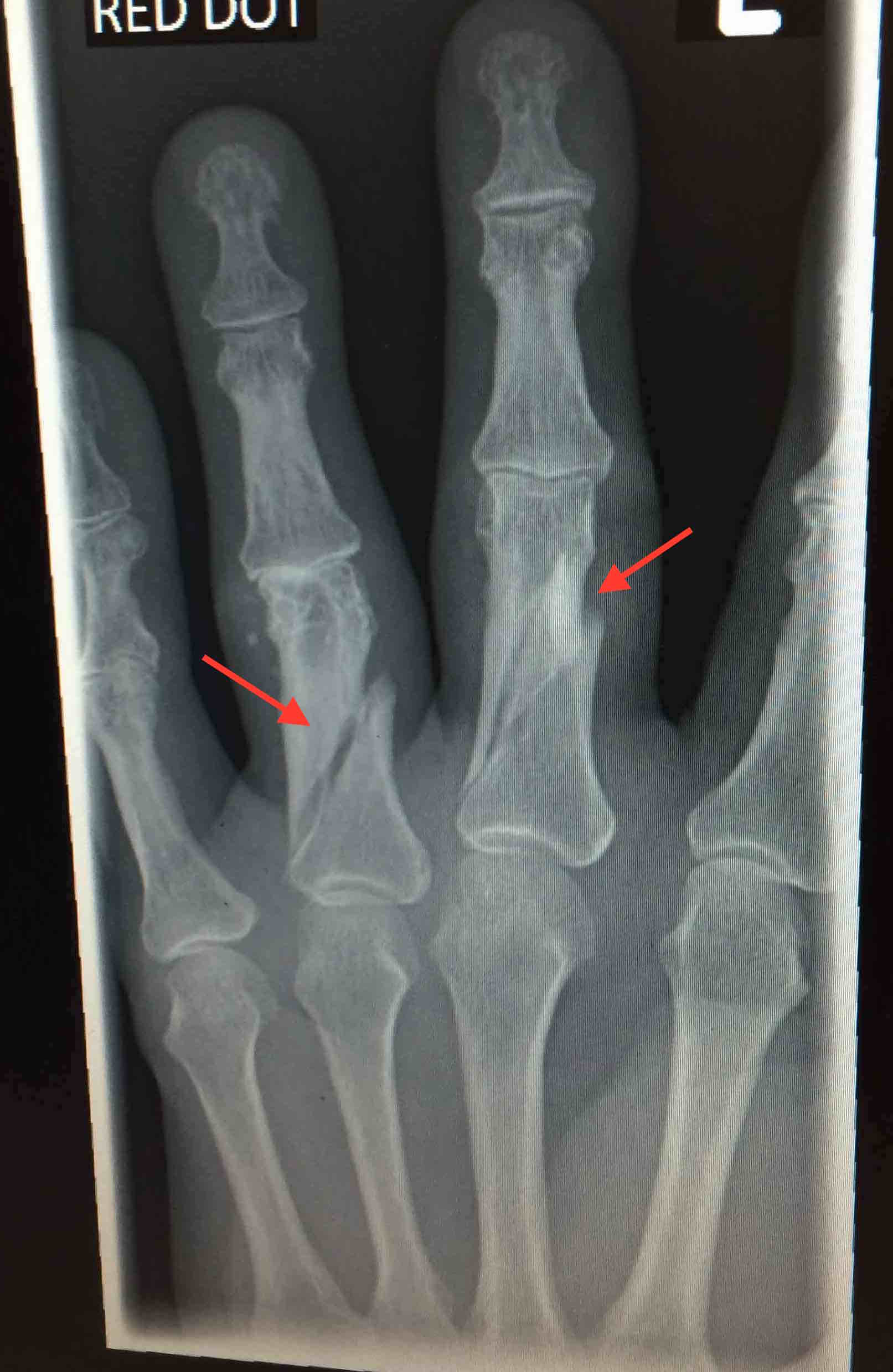
Spiral fractures; be careful in castles! Published August 12, 2016 at 1613 × 2479 in Northern Wales I: Conwy ← Previous Trackbacks are closed, but you can post a comment.